7月3日,我院成功实施急诊PCI(急诊冠状动脉造影及支架植入术)手术,这是我院在近期柔性引进高端人才赵子粼博士后实施的首例急诊PCI手术,标志着我院在急性心肌梗死的治疗和介入手术治疗方面上了新的台阶。在整个救治过程中,我院的医护工作者和后勤工作人员充分践行了党史学习教育中“我为群众办实事”的活动精神和医者仁心的担当。
当日20时22分,我院急诊医学科收治了一名50岁的心梗患者李某。该患者为另一住院患者家属,在缴纳住院费时电话和家人发生口角,情绪过度激动倒地不起不省人事。我院保卫科保安见状,立即联系急诊科。
20时25分急诊科接诊后,对患者快速开展了除颤,心肺复苏术,检验床边心肌等三项急救措施。心血管内科医生进行紧急会诊后,确认患者为急性ST抬高型前壁心肌梗死并为患者注射了那曲肝素钙抗凝。随后电话请示心血管内科赵子粼博士、张轩副主任,二人立即赶赴医院,经全面评估后决定对患者行急诊PCI手术。卫科保安见状,立即联系急诊科。

建立静脉通道
心电图显示病人急性ST抬高型前壁心肌梗死
病人转送至导管室,准备手术
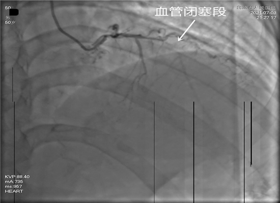
时间就是生命,这是一场与死神生死竞速的硬仗。21时15分,病人进入导管室,在赵子粼博士的主持下,张轩副主任亲自操刀,介入团队密切配合,快速穿刺桡动脉、置管、造影,升压,开通闭塞血管,植入支架。经过约50分钟的全力救治,成功挽救了患者的生命。目前,术后患者症状明显改善,恢复较好。
相关连接介绍:近年来,介入手术在我院已成功开展近1400例。据赵子粼博士介绍,急诊PCI手术,是指患者发生急性心肌梗死后12小时内进行的冠状动脉血运重建,患者首先在心脏导管室行冠状动脉造影术,找出冠状动脉病变血管及病变部位,对病变部位行经皮冠状动脉腔内成形术和植入支架,使闭塞的血管得以再通,梗死的相关心肌得以及早的再灌注和功能恢复。这是一项恢复冠状动脉血流最直接、最有效的治疗法之一,具有冠状动脉通畅迅速,残余狭窄轻和近、远期预后佳等优点,对减少心肌梗死的并发症,提高存活率、降低病死率和致残率都有重要意义。
我院介入团队自成立以来,特别是柔性引进高端人才赵子粼博士,团队更具精湛的医疗技术和高效的救治能力。此次实施急诊PCI手术的成功开展,标志着北流市人民医院介入治疗技术迈上了一个新的台阶!